News

July 10, 2018

Smartphone platform improves learning, reduces cheating

A Purdue University-affiliated startup has created a digital learning platform to improve communication between students and teachers and provide real-time feedback on student comprehension and participation. ECE alumnus Varun Mavilla is a co-founder of LectureWise.
July 8, 2018

Prof. Joerg Appenzeller receives 2018 Aristotle Award

Joerg Appenzeller is the recipient of the 2018 Aristotle Award from the Semiconductor Research Corporation (SRC). The award recognizes professors for outstanding teaching and a deep commitment to the educational experience of his students.
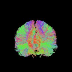
July 2, 2018

Mapping the brain with data science

A group of researchers at Purdue University, led by ECE Prof. Thomas Talavage, is designing data-driven tools that will help clinicians better understand the progression of neurodegenerative diseases by identifying and tracking changes in the brain.
June 14, 2018

New engineering center to develop scientific and engineering principles of resilient systems

Led by ECE Prof. Surabh Bagchi, A new Purdue University College of Engineering center has been unveiled to seek the foundational design principles that underlie resilient systems. The Center for Resilient Infrastructures, Systems and Processes (CRISP) was officially started in October 2017 and will run its seed grant competition for research proposals this summer.
< Previous 10 | Viewing 41 to 50 of 96 | Next 10 >