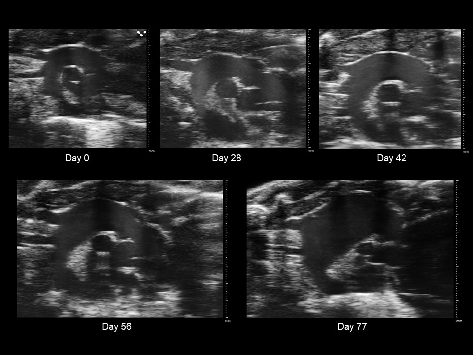
Progression of a Murine Thoracic Aortic Aneurysm
Submitted by: Ethan Kelley
Category: Anatomy & Physiology
Contributors: Cortland Johns
Creation: EKV (EKG-gated Kilohertz Visualization) Ultrasound Imaging
Caption: EKV ultrasound imaging visualizes the progression of a murine thoracic aortic aneurysm through five-time points after the introduction of BAPN (beta-aminopropionitrile) to drinking water. BAPN inhibits collagen replacement around major arteries, causing aneurysms when administered to young mice. Major tick marks indicate millimeters. Images were collected and processed with VisualSonics Vevo3100 and Vevo Lab.
